Dentist in Merritt Island, FL
Stress Less &
Smile More
- General Dentistry
- Implant Dentistry
- Care by a Board-Certified Prosthodontist
- 700+ 5-Star Google Reviews



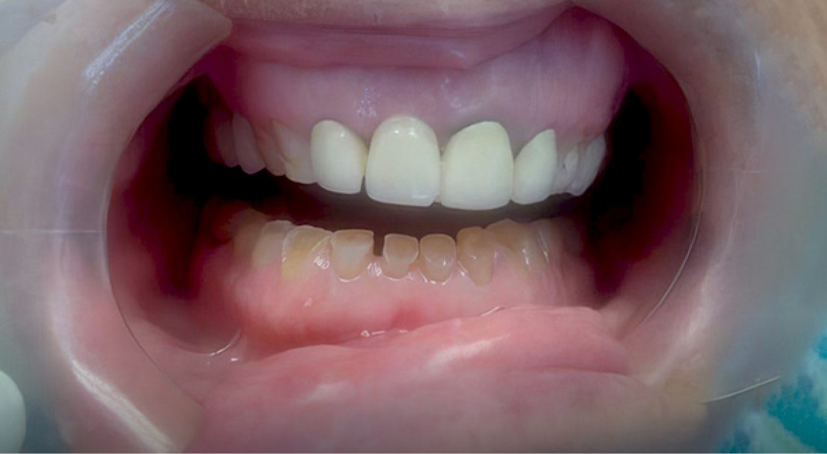
A Real Patient's Results
Why Our Site Is Called “Smile More”
This patient came to our Merritt Island, FL, dental office with worn, decayed teeth, discoloration, and some bridge work that stood out against the rest of their smile. Our dentists combined treatments into a streamlined smile makeover plan and created natural-looking results.
We decided to call this site “Smile More” for a reason: Because that's what you can expect to find yourself doing after you trust your care to our compassionate dentists. Their combined expertise can optimize every aspect of your smile, from your oral health to the pride it gives you each time you share a laugh, gather for a family photo, or make an unforgettable first impression. We invite you to take a look at more examples of our work:
Dentists: Refer Your Patients to Us!
If your patient needs dental implants, full mouth reconstruction, or another complex procedure, refer them to our board-certified prosthodontist. Simply fill out our form, and we’ll handle the rest.
Book With Our Merritt Island Dentists
Ready to Smile Again?
Whether you need a new family dentist or you're ready to take the first step toward improving your oral health and function after years of delaying necessary care, Family Dentistry & Prosthodontics is here for you.
We've earned over 740 5-star Google reviews from patients who appreciate our gentle procedures, judgment-free atmosphere, and focus on patient education.
- Our dentists and staff regularly attend continuing education courses and conventions with a focus on improving patient care.
- We treat patients of all ages and all types of needs, from simple cleanings to complex restorative work and multi-stage cosmetic transformations.
- We specialize in prosthetics for challenging cases and can provide solutions like All-on-4 implants and Teeth in a Day.
- We offer thorough consultations and will always explain your options to find one that's best suited to your needs, lifestyle, and budget.
Request a consultation today!


A Real Patient's Results
“They helped me gain confidence in my smile again.”
"Every single person I have come into contact with here has been exceptional. They are not only very attentive and kind, but they actually remember YOU. Not just your name, but your story, your goals, and everything that makes you YOU. They have been ultra kind to me and understanding of my recovery. They have helped me gain confidence in my smile again.”
— Stephanie, 5-Star Review
We Make Excellent Dentistry Affordable
Our Merritt Island, FL, team will help you get the most from your benefits. We also accept CareCredit® financing to make treatment an easy fit for your budget.
A Real Patient's Results
“Excellent, professional, and very modern.”
“I was looking for a new dentist when I moved to Merritt Island and Dr. Wilkhu and Schmid had excellent reviews. After having several visits, exams, X-rays and minor restorations, I could see why they were so highly rated. Their service is excellent, professional and very clean/modern with the latest tech. Also, Brandy, the billing specialist at the front desk has been exceptionally helpful to me with my AFLAC forms. My dental hygienist has also been very good. Highly recommend this dentist office.”
— Jared, 5-Star Review

“Dr. Schmid did an awesome job!” 5-Star Reviews
Dr. Wilkhu listens to concerns and is not pushy on any procedures that might not be needed right away. Tiffany does an excellent job as hygienist and has a very nice demeanor. Overall I am very happy with the services I have received.
View on Google
It was a great but long experience. Dr. Schmid did an awesome job -- I've had so many compliments on them and they look so natural. All the gals in the office are a complement to your office. They are all good workers and appear to really enjoy their job and work environment.
View on Google















