
About Our Practice
Since 2005, our Merritt Island dentists have served the oral health needs of families using state-of-the-art technology in a cozy, family-friendly setting. For your comfort, our Merritt Island, FL, dental office features Netflix video streaming and headphones in each treatment suite. Your comfort and oral health are our first priorities, and our dentists gladly take the time to help you understand how your treatment options can help improve both your oral and overall health.

Advanced Treatment and Results
With In-Office Technology
At our Merritt Island, FL, dental practice, our team is constantly acquiring new technology and attending continuing education courses. This allows us to enhance your experience and provide you with the most convenient, efficient, and effective dental care.
Our office is equipped with an on-site CEREC unit, which we use to design and manufacture same-day crowns. Thanks to the use of digital X-rays, a CBCT scanner, and intraoral cameras, our dentists can more accurately diagnose your condition and illustrate how your treatment can help you enjoy a better quality of life.
When performing laser dentistry, our dentists use the Waterlase iPlus® system by BIOLASE for faster and more comfortable treatment. Laser dentistry is a minimally invasive approach to the management of mild to moderate gum disease. It can also be used to perform cosmetic gum lift procedures.
For dental implants, our dentists use Nobel Biocare® products and surgical guides to ensure accurate, long-lasting results. Nobel Biocare is a leading brand that has helped millions to reclaim a healthy and fully functional smile.
Insurance and Financing Are Accepted
/
Our Merritt Island, FL, dentists accept most dental insurance plans. For uninsured patients and out-of-pocket costs, we also accept CareCredit® to make treatment affordable through flexible financing options and low-interest rates.
Dedicated to Constant Improvement Request a Visit With Our Merritt Island Dentists
If you and your loved ones are in need of a Merritt Island dentist, you shouldn't settle for anything less than a practice committed to the finest care. Our entire team makes a point of staying current with the most sophisticated advancements in modern dentistry, like laser dentistry, cone beam CT scans, and biocompatible dental implants. Our dentists and staff also regularly attend courses and conventions with a focus on improving patient care.
To learn more about the sophisticated techniques and technology at our Merritt Island, FL, office, send our team an online message or call:
(321) 459-2444

"Beautiful office! Great staff!" What Merritt Island, FL, Has to Say About Our Practice
Beautiful office! Great staff! Everyone is so friendly and welcoming. I highly recommend Dr. Steven Schmid and Family Dentistry & Prosthodontics!
View on Google
It was a great but long experience. Dr. Schmid did an awesome job -- I've had so many compliments on them and they look so natural. All the gals in the office are a complement to your office. They are all good workers and appear to really enjoy their job and work environment.
View on GoogleMeet Our Merritt Island Dentists
Dr. Chan Wilkhu
Dr. Wilkhu has been practicing dentistry since 2003. He is a graduate of the University of Florida and the University of Pittsburgh School of Dental Medicine. Dr. Wilkhu serves the needs of Merritt Island, FL, from our friendly office, and enjoys helping patients improve their quality of life through comprehensive care. As your dentist, he can provide regular care and maintenance as well as a range of life-changing restorative procedures, including dental implants.
Dr. Steven Schmid
Dr. Schmid has been practicing dentistry in Brevard County since 2012. He is a graduate of Florida State University and the University of Michigan School of Dentistry. Dr. Schmid enjoys helping patients with terminal dentition that need to transition into dental prosthetics, and improving their confidence by transforming their smile with cosmetic dentistry. His two favorite things to do are spending time with his family and surfing. He also enjoys traveling, going to concerts, and watching college football and hockey. Go Michigan!
Our Professional Affiliations
Take a Look Around Our Office
A Dental Office Patients Trust "I highly recommend them if you are looking for a new dentist."
I’m so happy to be at this practice. I had become increasingly frustrated and unhappy at my usual dentist. The staff is so nice. Cierra listened to my story and Dr. Schmid was so kind and knowledgeable. I have many dental issues past and present but I am confident in Dr. Schmid and his staff to take care of me.
View on GoogleWe started using Dr. Wikhu a few years ago and have been extremely happy. The office staff is top notch, has great communication and very friendly every time we speak to them. A far cry from all our prior dentist. I recently had my first real "dental work" done by Dr. Wikhu and the experience was exactly what I thought it would be. He and his staff did an amazing job with my crown. Pain free and all done in the same day. I highly recommend them if you are looking for a new dentist.
View on GoogleIs It Time to Visit the Dentist? Request an Appointment Today!
We're Merritt Island's home for excellence in comprehensive dentistry. We treat patients of all ages and all types of needs, from simple cleanings to complex restorative work and multi-stage cosmetic transformations. Whatever brings you to Family Dentistry & Prosthodontics, Dr. Wilkhu, Dr. Schmid, and our caring team can deliver results that exceed your expectations. Send us a message, fill out our appointment request form, or call us to get started.
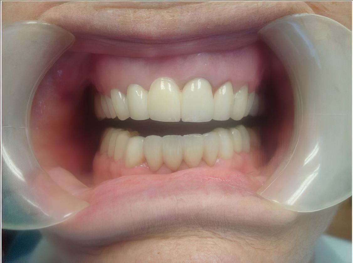
Why Is Our Site Called "Smile More"? See For Yourself: A Real Patient's Results

Our Complete Dentistry Services
- All-on-4® Dental Implants
- Bone Grafts
- Cosmetic Dentistry
- Dental Bonding
- Dental Bridges
- Dental Crowns
- Dental Deep Cleaning
- Dental Fillings
- Dental Hygiene
- Dental Implants
- Dental Sealants
- Dentures
- Full Mouth Reconstruction
- General Dentistry
- Gum Contouring
- Gum Grafting
- Laser Dentistry
- Mouth Guards for Sports
- Night Guards for Bruxism
- Non-Surgical Periodontal Treatments
- Oral Cancer Screening
- Periodontal Disease Treatment
- Porcelain Veneers
- PRP Treatment
- Root Canal Therapy
- Same-Day Dental Crowns
- Scaling and Root Planing
- Sedation Dentistry
- Smile Makeover
- SureSmile®
- Teeth Cleaning
- Teeth Whitening
- Tooth Extraction
- Tooth Replacement
- Wisdom Teeth Removal
How Patients Describe Us: "Professional and friendly... consistently excellent."
I've been a patient of Dr Wilkhu's for many years and found his practice to be consistently excellent. His staff is professional and friendly, the offices are always clean and comfortable and his dedication to the patient is obvious in every visit.
View on Google
I had a great first visit with Dr. Wilkhu! He is a very calm and laid back doctor which makes a huge difference for patients with extreme fears of going to the dentist. My dental needs are being fully addressed!
View on Google















